
Cavities are a common oral health issue that many people experience at some point in their lives. As dental professionals, we often get asked if cavities are contagious and if they can spread from one person to another. In this blog post, we will explore the truth behind this question and provide you with the necessary information to better understand cavities and their transmission.
Understanding Cavities
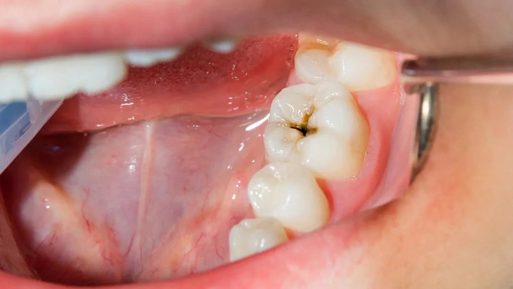
To begin, let’s have a clear understanding of what cavities are. Cavities are essentially areas of decay in the teeth caused by the breakdown of tooth enamel. This breakdown occurs due to the presence of harmful bacteria in the mouth, which feed on the sugars and carbohydrates we consume. These bacteria produce acid as a byproduct, which erodes the tooth enamel, leading to the formation of cavities.
The Role of Bacteria
Now, let’s address the question of whether cavities are contagious. While cavities themselves are not contagious, the bacteria that cause them can be transmitted from one person to another. This transmission usually occurs through activities that involve direct contact with saliva, such as sharing utensils, kissing, or even using the same toothbrush. When these bacteria are introduced into a new mouth, they can potentially contribute to the development of cavities.
Preventing the Spread of Cavities
To minimize the risk of spreading cavity-causing bacteria, it is important to practice good oral hygiene habits. This includes brushing your teeth at least twice a day with fluoride toothpaste, flossing daily, and visiting your dentist regularly for check-ups and cleanings. Additionally, avoiding activities that involve sharing saliva can also help reduce the chances of transmitting cavity-causing bacteria.
Protecting Your Oral Health
While cavities themselves may not be contagious, it is crucial to remember that the bacteria responsible for their formation can be transmitted. Therefore, it is essential to maintain good oral hygiene practices and take necessary precautions to protect your oral health. By doing so, you not only reduce the risk of developing cavities but also promote overall oral health and well-being.
Schedule Your Dental Appointment Today
If you have any concerns about cavities or your oral health in general, we are here to help. Our team at Urban Dental Studio is dedicated to providing exceptional dental care to patients in Clarksburg, MD, and the surrounding areas. Don’t hesitate to reach out and schedule an appointment with Dr. Anum Zaidi. Together, we can create a personalized dental plan to keep your smile healthy and cavity-free.
Call Urban Dental Studio at (240) 308-8588 or visit our website to request an appointment today. Your oral health is our priority, and we look forward to serving you and your family.